Smile Gallery
Please scroll through our smile gallery to see how we've helped patients achieve their smile and oral health goals. At BMB Dental Clinic, we customise your treatment plan to meet your needs and reach your desired outcome.
*The images shown in our Smile Gallery are examples of dental treatments provided at our practice. Individual results will vary depending on each patient’s dental needs and circumstances.
*The images shown in our Smile Gallery are examples of dental treatments provided at our practice. Individual results will vary depending on each patient's dental needs and circumstances.
We gave this patient a brilliantly white smile in just one appointment using the Zoom whitening treatment. This procedure is designed to safely and effectively combat discoloration caused by food, drink, and the natural aging process. By combining a professional-strength whitening agent with an accelerating light, we were able to lift stubborn stains and achieve a luminous, healthy-looking result.
This smile was dramatically brightened using our Zoom professional whitening service. The treatment effectively erased years of staining and discoloration to restore the teeth to a brilliant, natural shade. The fast, in-office procedure delivered immediate results, leaving the patient with a stunningly radiant and youthful-looking smile.
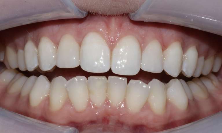
This patient's smile was perfected using Invisalign clear aligners to correct crooked and misaligned teeth. The treatment utilized a series of custom, removable trays to gently guide teeth into their proper position, enhancing both the smile's appearance and function. The final outcome is a stunningly straight and confident new smile.
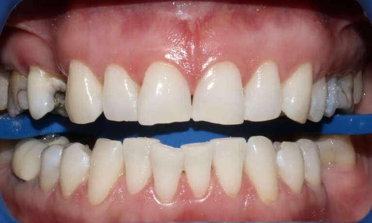
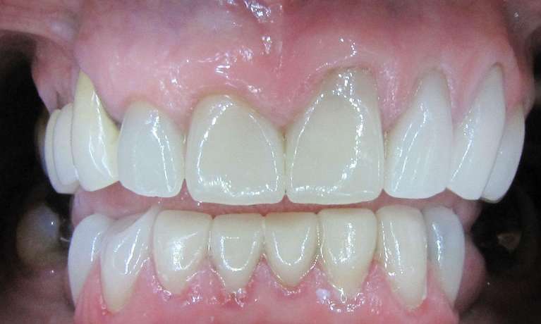
We recently completed a case involving six anterior composite veneers for a patient who requested a noticeably brighter smile. Using a very white composite shade, we carefully layered and shaped each veneer to enhance the teeth’s form and symmetry while achieving the desired level of brightness. This technique provided an immediate and minimally invasive transformation, tailored to the patient’s aesthetic goals.
We have achieved dramatic results using in-chair Zoom whitening. In a single session, patients often notice a visibly brighter smile. The Zoom system offers a fast, effective solution with minimal sensitivity, making it ideal for those seeking immediate improvement in the appearance of their teeth.
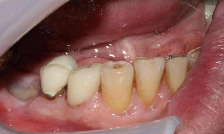
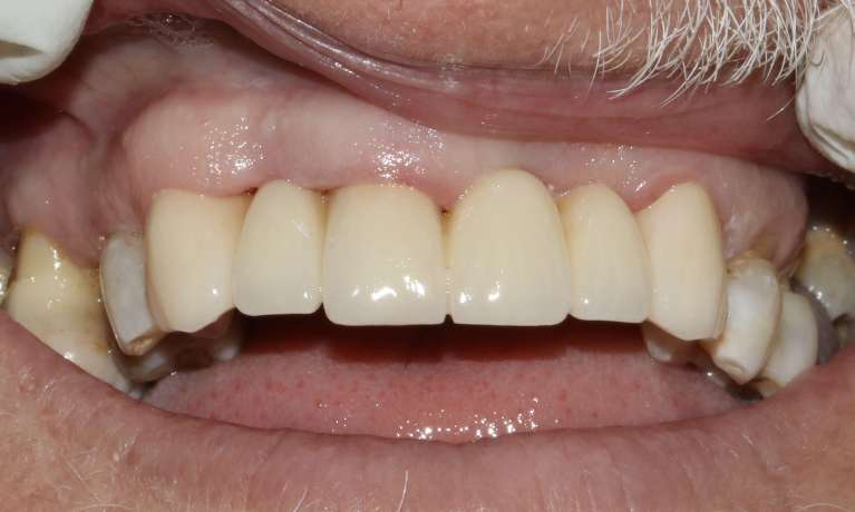
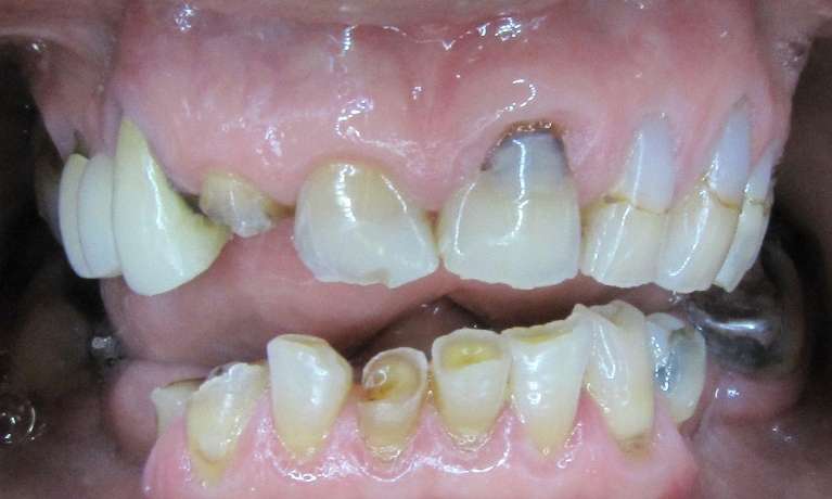
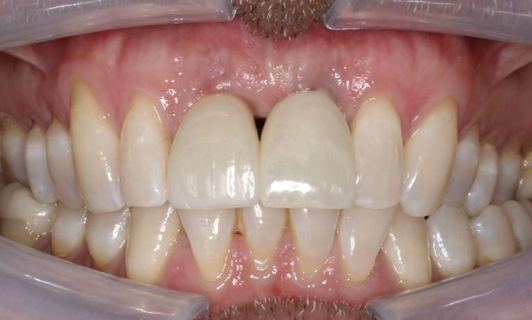
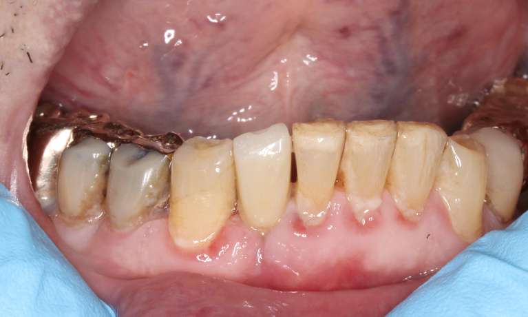
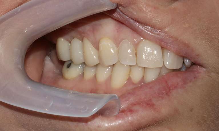
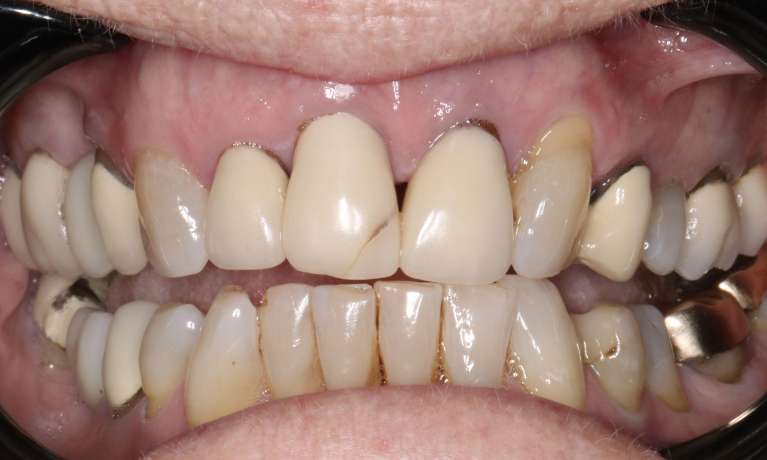
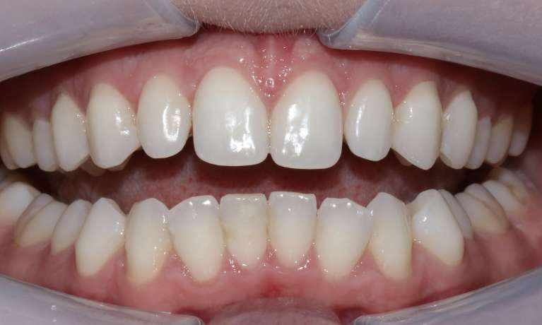
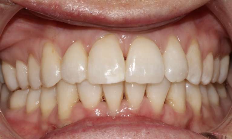
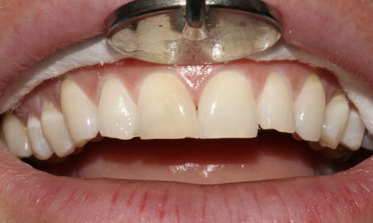
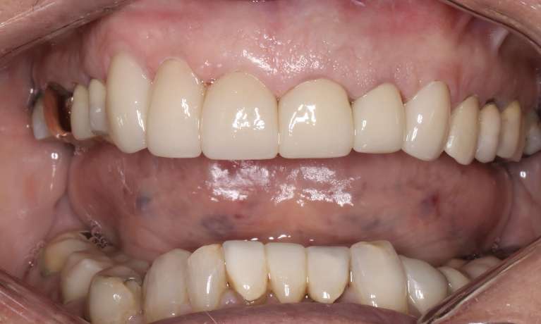
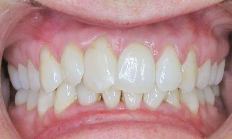
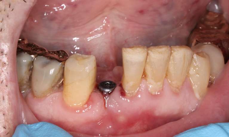
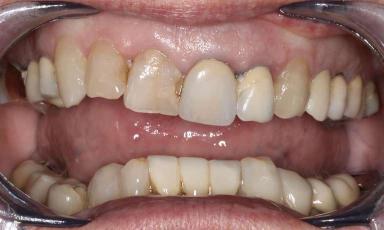
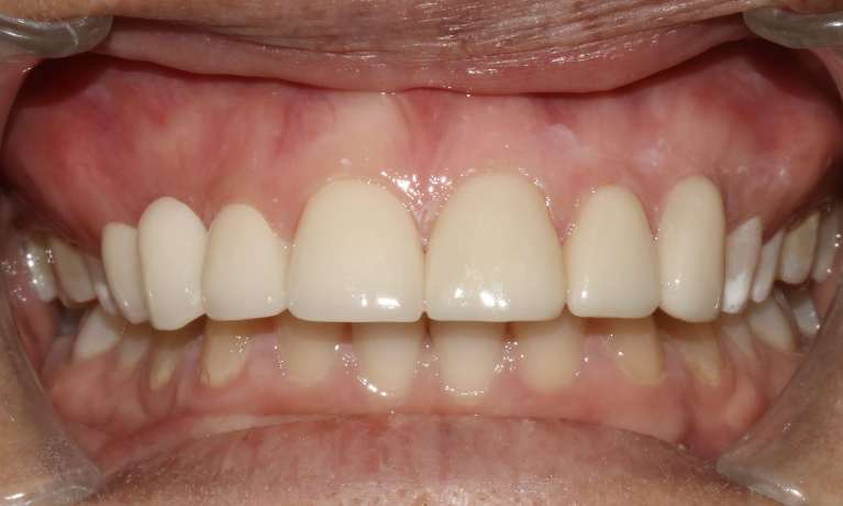
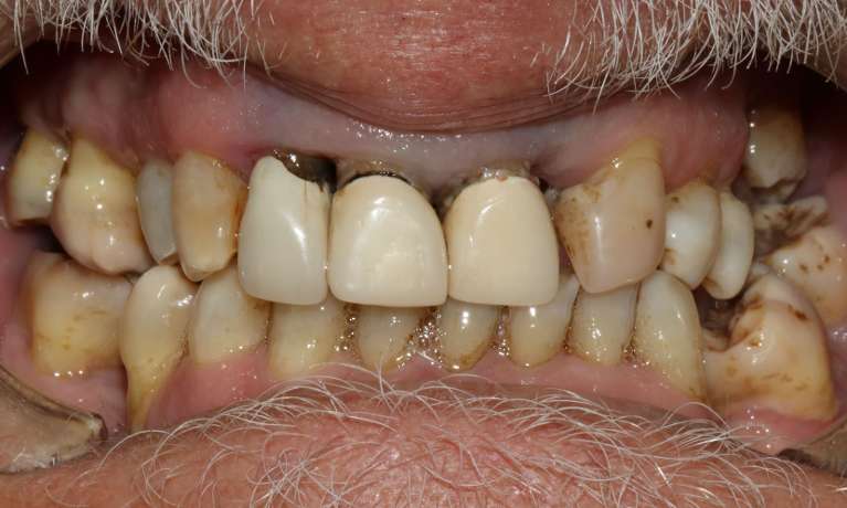
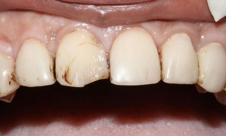
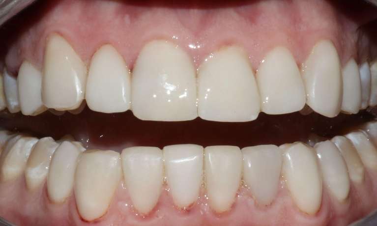
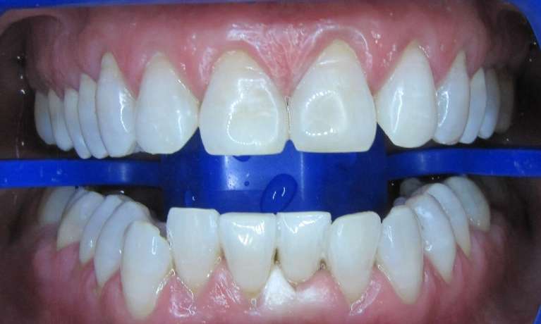
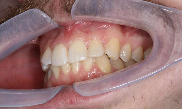
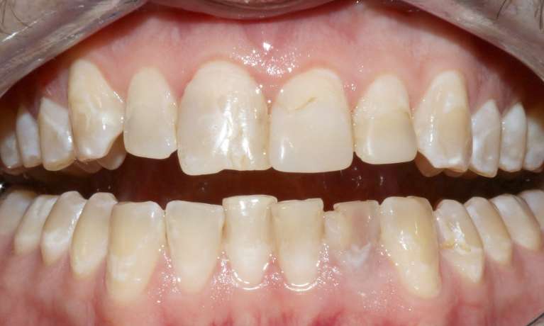
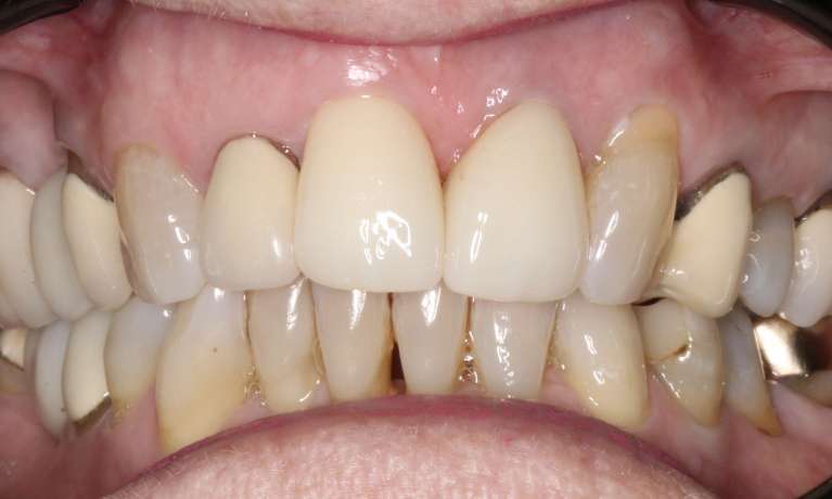
We completed an upper anterior restoration using a combination of crowns and a bridge. The patient presented with worn and missing teeth, impacting both appearance and function. Through careful design and material selection, we rebuilt the smile to restore symmetry, strength, and an elegant aesthetic.
8 upper and 6 lower teeth were restored with porcelain veneers to enhance the overall appearance, resulting in a more balanced, brighter, and aesthetically pleasing smile.
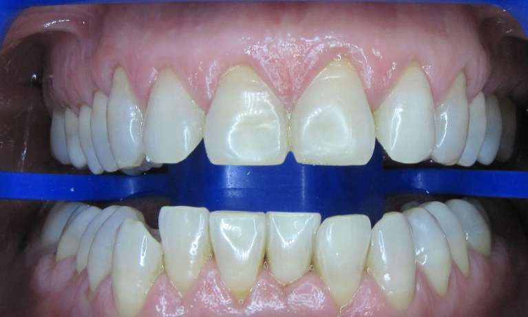
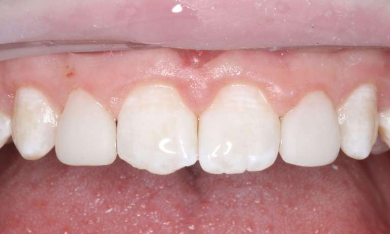
We recently transformed a patient’s smile using four anterior porcelain veneers. The patient had concerns about discolouration and uneven tooth shape. With precise planning and custom shading, the veneers created a brighter, more symmetrical smile - delivering a natural, long-lasting result.
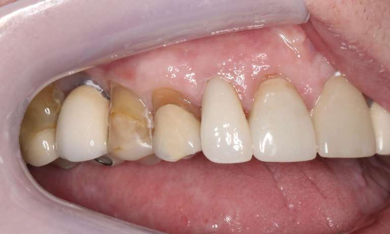
We restored a patient’s smile using a combination of crown, porcelain veneer, and bridgework. The treatment addressed damaged and missing teeth, enhancing both function and aesthetics. Porcelain veneers improved the front teeth’s appearance, crowns reinforced weakened teeth, and a custom bridge filled the gap seamlessly - resulting in a natural, confident smile.
The crowns on the two upper central incisors were replaced to address a cracked crown and to mask discolouration visible at the gum line, leaving the patient with a fresher smile.
A combination of 6 upper and 8 lower teeth have been restored using a mix of high-quality crowns and porcelain veneers, enhancing both function and aesthetics for a natural-looking, long-lasting smile.
A complex case with a multi-faceted approach. The team firs tused invisalign and braces to align and make room for a 6 unit bridge. The entire process was completed in approximately 24 months.
This case was braces only for upper jaw. This was done 2017-2018
Upper teeth successfully aligned using upper braces. The treatment went for a minimal timeframe of 1 year.
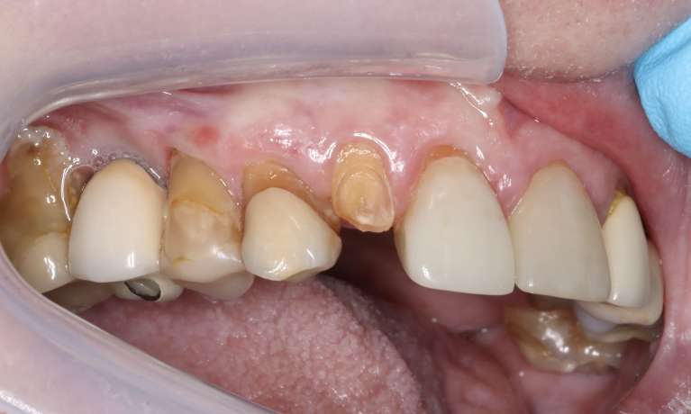
The patient had a tooth broken down to the gum line. After a thorough examination and discussion of options, we decided to save the tooth by placing a crown on the remaining root. A post was inserted into the canal, and a core was built up to support the crown.
Need to restore a damaged tooth? Call (02) 8411 1366 to book your consultation today!
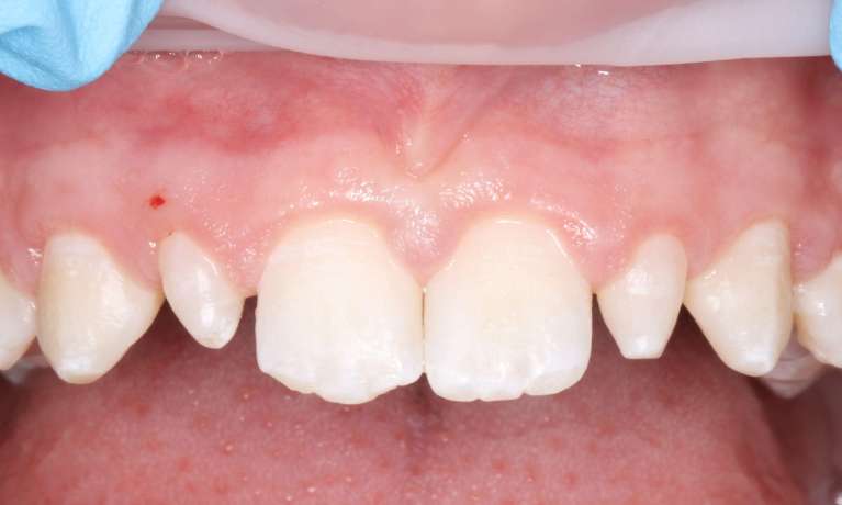
The patient wanted to reshape their peg laterals to a normal size and blend naturally with their smile. This was achieved through direct composite restoration in a single session.
Want to perfect your smile? Call (02) 8411 1366 to book your consultation today!
The patient wanted to reshape their peg laterals to blend seamlessly with their surrounding teeth. This was achieved through a direct composite restoration, completed in a single session.
If you're looking to enhance your smile, book a consultation today – call (02) 8411 1366!
A porcelain crown was placed to restore the tooth’s shape and function.
Ready to bring back your confident smile? Call (02) 8411 1366 to book your consultation today!
Six porcelain crowns were crafted to align the teeth and enhance the patient’s smile. This was a complex case due to bite and gum level considerations. To ensure complete satisfaction, the patient first received temporary crowns before the final ones were placed.
Thinking about improving your smile? Book a consultation with BMB Dental Clinic today – call (02) 8411 1366!
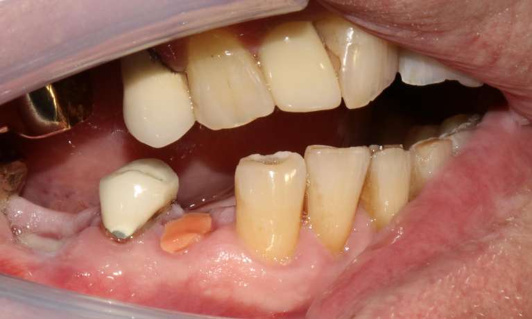
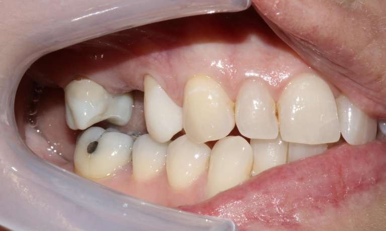
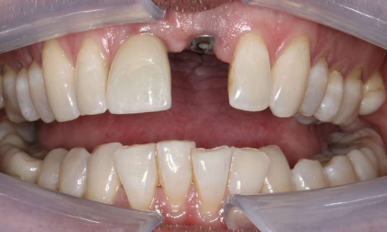
The patient had a missing front tooth, which was restored with a single dental implant for a natural look and function.
Considering a dental implant? Call (02) 8411 1366 to book your consultation today!
Missing a tooth? A single dental implant can bring back your natural smile and confidence.
Call (02) 8411 1366 to book your consultation today!
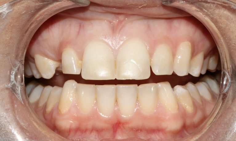
This broken upper lateral incisor was restored with a crown after removal of decay and building up the tooth with composite filling. We were able to achieve a natural looking tooth that blends in well with the rest of the teeth.
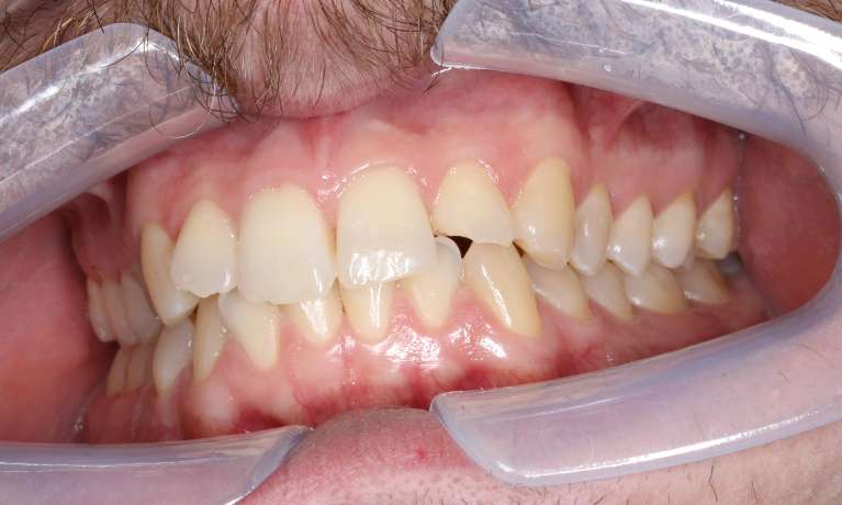
Upper central incisor (front tooth) was repaired with composite filling. There is still outstanding dental work needing to be done on the tooth next to it. We were able to match the filling's shade to the rest of the other teeth, giving it a natural look.
This case was 6 unit veneers on upper front teeth to improve the looks of the teeth and patient's smile
We have successfully treated complex cases using clear aligners in Mona Vale. One of our notable treatments involved a patient with a severely rotated tooth. Using Invisalign in combination with other orthodontic techniques, we managed to gradually align the tooth over a period of 24 months. This approach ensured a gentle but effective correction, with clear aligners providing a discreet way to address the issue without the need for traditional braces.
Throughout the treatment, we tracked progress and captured the patient’s transformation, which is now part of our before and after photo collection. These photos showcase the impressive results that ...
Patient came in with a broken back tooth. Composite filling was done for a broken tooth on lower left. There are also other treatments needed and a patient left with a comprehensive treatment plan recommendation.
Patient had a missing tooth on upper right side. Patient was presented with numerous options to replace the tooth. After considering all the options, he decided to get the tooth replaced with a dental bridge.
This case was invisalign to align the teeth and fix the crossbite on upper left side and 1 unit crown on tooth 11 ( 1st upper right incisor ) to match with 21 (1st upper left incisor ) which was already a crown. It was done 2020-21 and took exacly a year.