Braces in Mona Vale
Braces provide an established orthodontic treatment option for aligning teeth. At our Mona Vale dental clinic, we offer orthodontic care to support the appearance and function of your teeth. Treatment may assist with chewing, speaking and maintaining oral hygiene.
*Outcomes, healing times and fees vary depending on individual circumstances and treatment type.
How Braces Work
Braces use small brackets attached to the teeth and connected by a wire. We adjust the wire during review appointments to guide teeth into position over time. Treatment duration varies depending on individual needs and case complexity. Most treatment plans range from approximately 1 to 3 years. Regular visits allow us to monitor progress and make adjustments.
What Braces May Address
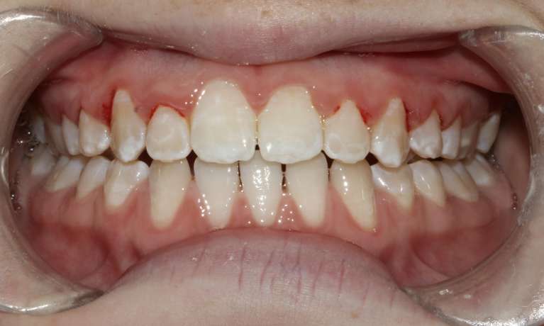
Braces may be suitable for a range of orthodontic concerns, including:
- Crowded or crooked teeth
- Gaps between teeth
- Bite concerns such as overbite, underbite or crossbite
When Additional Treatment May Be Required
In some cases, concerns relate to the position or structure of the jaw rather than the teeth. In these situations, we may discuss referral for further assessment or combined treatment options.
Types of Braces
We provide different types of braces based on your clinical needs and preferences:
- Buccal braces are fitted to the front of the teeth and are commonly used
- Lingual braces are fitted behind the teeth and may be less visible
Brackets may be made from:
- Metal such as stainless steel or gold
- Tooth-coloured materials such as porcelain
Considerations for Braces
Benefits
- Suitable for a wide range of orthodontic concerns
- Can address more complex alignment issues
- Results may be maintained with appropriate retention and care
Considerations
- You may experience some discomfort following adjustments
- Cleaning teeth and braces requires additional care
- Some types of braces are more visible than others
Clear Aligners in Mona Vale
Clear aligners provide an alternative to fixed braces for some patients. These removable trays apply gradual pressure to move teeth over time. You remove them for eating and oral hygiene.
Aligners may suit patients seeking a less visible option, although they are not appropriate for all cases. Treatment outcomes depend on wearing aligners as directed.
What to Expect During Your Orthodontic Appointment 
- Consultation — We review your medical and dental history, discuss your concerns and examine your teeth and jaw alignment. Where appropriate, we take photographs, scans or x-rays to assess your orthodontic needs.
- Treatment Planning — We explain suitable orthodontic options including braces and aligners. We discuss expected timeframes, fees, benefits and risks so you can make an informed decision.
- Treatment and Follow-Up — We fit and adjust your braces according to your treatment plan. We schedule regular review appointments to monitor progress. After treatment, we provide retainers and guidance to support maintenance of alignment.
Braces vs Clear Aligners in Northern Beaches
Braces may be suitable for patients requiring more comprehensive tooth movement and are commonly used for a wide range of cases. Clear aligners in Mona Vale may suit patients seeking a removable and less visible option. Suitability depends on your clinical needs and preferences.
We assess your individual situation and discuss appropriate options during your consultation.
Benefits of Braces
Improved Alignment
Support Oral Hygiene
Enhanced Function
Frequently Asked Questions
This depends on which stage of the treatment you are up to. Generally, every 4 to 6 weeks.
Yes, adults can absolutely get braces. While most adults prefer Invisalign or similar systems, sometimes due to the complexity of the treatment, they need to have braces. From time to time, after discussing various treatment options, a patient may decide to compromise on the expected results in order to avoid braces and proceed with clear aligners instead.
Normally, the term 'braces' refers to the braces placed on the outside of the teeth, known as Buccal Braces. In some cases, the brackets can be placed on the inside of the teeth to make them less visible. This is called Lingual Braces.
Brackets can also be made from different materials. Generally, stainless steel or porcelain brackets are used. In this case, porcelain brackets are considered to be more aesthetic due to their white colour and ability to match with the natural shade of the teeth.
When you have braces, you will need to spend longer than usual cleaning your teeth. To achieve a good clean, it is recommended to use a water flosser, special orthodontic brush, Piksters and mouth wash.
Yes, you can. play sports with braces. Depending on the sport, you may need to have a special mouth guard to protect your teeth and braces. Generally, it is better to stay away from high contact sports as getting hit on the face while having braces on can cause injuries to the soft tissue and teeth.
Our Team
-
Dr Babak Moharrami
Dr Babak Moharrami graduated from Qazvin University in Iran in 2000 and treated patients in his native Tehran for seven years before moving to Australia. He passed the Australian Dental Council (ADC) exams in 2007 and 2008. Having demonstrated his excellence in dentistry, Dr Moharrami began serving patients at Fairfield Dental Healthcare Clinic in Fairfield, NSW.
During his three years with the Fairfield practice, Dr Moharrami gained valuable knowledge and experience. In 2011, he opened his practice in beautiful Mona Vale. He worked at both practices until 2013, when he devoted ...
Read More