Our dedicated dental team at BMB Dental Clinic in Mona Vale helps patients straighten their teeth conveniently and discreetly with orthodontic treatments, including Invisalign®, ClearCorrect® and a variety of other brands.
We also offer traditional braces, which are often more appropriate for our younger patients.
Traditional Braces vs Clear Aligners
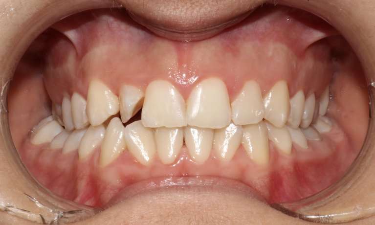
While traditional braces and invisible braces, such as Invisalign and ClearCorrect, straighten the patient’s teeth, the treatments have significant differences.
Traditional Braces
With traditional braces, the dentist places brackets on the patient’s teeth and connects the brackets with thin wires and sometimes O-rings. The dentist or orthodontist custom fits traditional braces to the patient’s mouth for effectiveness, using the wires to make adjustments as the treatment progresses. The patient must schedule regular follow-up visits with the dentist for necessary adjustments.
In our clinic, we provide metal and ceramic brackets. We generally use metal brackets for our younger patients and ceramic brackets for our adult patients, who often prefer them due to their aesthetics. Patients cannot remove traditional braces during treatment. The dentist will remove them at the completion of the treatment.
Invisible Braces
Invisible braces, on the other hand, are actually plastic aligners. The patient can easily remove the discreet aligners for their oral hygiene routine and eating and drinking, which means there’s no need to change their diet while undergoing aligner treatment. It also makes it easy to maintain your oral hygiene and keep your aligners clean.
The discreet nature of invisible braces, combined with the convenience of removability, makes them an ideal choice for many busy teen and adult patients. However, ease of removal is the main reason we generally recommend traditional braces for our younger patients over invisible braces, as the aligners may not be used long enough if they're removed often. In addition to removing their aligners, younger patients may also lose their aligners frequently, which affects the outcome of treatment.
How Invisible Braces Work
The more movement we need to see in the teeth, the more aligner sets we’ll provide. Depending on your specific treatment, most aligners brands require you to change aligners every week or two, and each aligner set will move your teeth a little bit closer to your goal.
All aligner systems use small, tooth-coloured attachments for added force on the teeth. The attachments work as handles that the aligners use to push or pull the teeth into the proper position.
To achieve the best results, it’s essential that the patient changes their aligners according to schedule and wears their aligners for at least 22 hours every day. Fortunately, the aligners are comfortable and nearly invisible, so no one even needs to know you’re wearing them.
Due to recent improvements in technology and techniques, clear aligner treatments work much more efficiently than they did in the past. As a result, we can now treat more complex cases than previously possible, which is excellent for our patients.
However, since aligners require a bit more dedication than traditional braces, we often recommend traditional braces for our youngest patients, even if clear aligners would offer a solution.
How Much Does Invisalign Cost in Mona Vale?
Invisalign or clear aligner costs vary by patient and the complexity of your case; however, the average price ranges between $4,000 and $7,500.
* Remember, all cases are different, so your costs may fall outside the average price points. After reviewing your needs, our team will give you a personalised cost estimate.
Why Are Straighter Teeth Important?
Straighter teeth may make your oral hygiene routine more effective, creating healthier teeth and gums, and may also improve your bite. A better-aligned bite can improve functionality, making everyday tasks, such as chewing, easier for people. Better alignment may also prevent jaw pain, worn teeth, and other oral health issues.
Additionally, patients may feel happier and more confident about sharing their smiles with the world after receiving treatment.
What Will The Results Look Like?
Curious about how clear aligners can transform your smile? Using Invisalign® SmileView, you can see a preview of your straighter smile in a matter of seconds. Simply click this link, or scan the QR Code, upload a selfie, and see your new potential smile!
Clear Aligners in Mona Vale
If you are interested in straightening your teeth with invisible aligners in Mona Vale or a nearby community, we invite you to contact our clinic to set up a consultation.
Dr Babak Moharrami has helped many patients create healthy, attractive smiles with clear aligner treatment. With multiple clear aligner brand options (such as Invisalign, ClearCorrect, Spark and SureSmile) in addition to traditional braces, he would love to help you find the best solution specific to you!