At BMB Dental Clinic, we understand that many patients are interested in improving the appearance of their smile. Cosmetic dental treatments may be considered to address concerns, such as tooth colour, shape or alignment.
We offer a range of cosmetic dentistry options. Your cosmetic dentist in Mona Vale will assess your oral health and discuss suitable treatment options based on your individual needs and goals.
*All dental procedures carry risks and benefits. Results may vary between individuals and are not guaranteed. A full assessment is required to determine suitability for any treatment. Your dentist will explain the expected outcomes, potential risks and associated costs before proceeding.
What Is Cosmetic Dentistry?
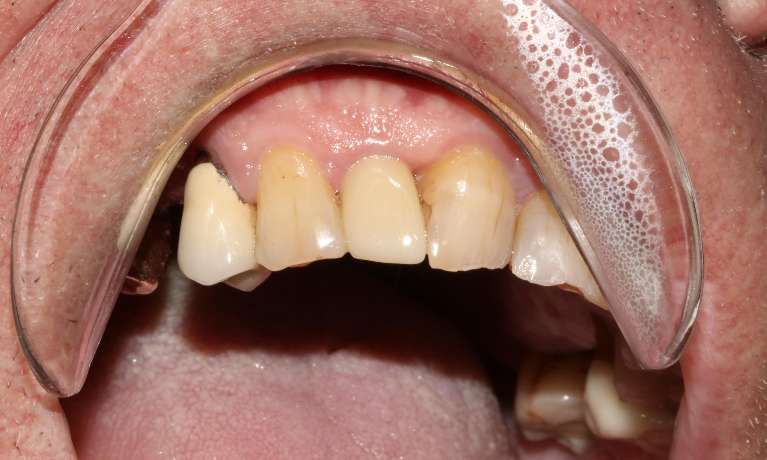
Cosmetic dentistry refers to a combination of dental procedures meant to restore the aesthetics of a patient’s smile. The procedures we recommend for your smile improvements will depend on your specific needs and goals. It's possible that it may be as simple as adding a couple of dental veneers or crowns to your teeth.
However, you may also require extensive dental work to achieve your smile goals. If that's the case, our skilled dentist, Dr Babak Moharrami, may perform a combination of procedures, such as Invisalign® treatment, tooth-coloured fillings, dental implants and teeth whitening.
Organising Your Treatment Plan
Dr Moharrami will thoroughly examine your teeth and gums before recommending appropriate cosmetic treatments. Then he will work closely with you to organise a treatment plan that meets your needs and achieves your smile goals.
The patient’s treatment plan is a vital part of cosmetic dentistry, and it helps us create personalised results. Therefore, we will take time during each step with the aim to keep patients informed and comfortable.
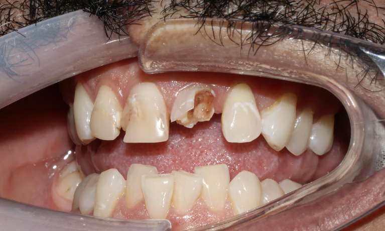
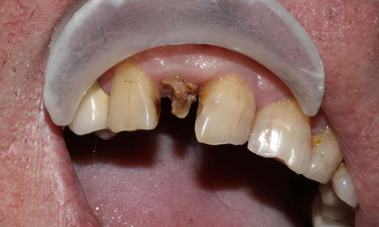
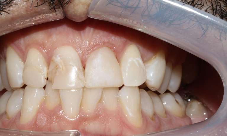
For example, if a patient has dental fillings on their front teeth that need replacement but would also like to have whiter teeth, a possible path forward may be to whiten the teeth first and then replace the fillings. This way, we can match the colour of the fillings with the already whitened teeth. Since teeth whitening treatments don’t alter the colour of dental fillings, the results would be unpredictable if we tried to whiten the teeth after replacing the fillings.
What Cosmetic Dentistry Treatments Do You Offer?
In our Mona Vale dental practice, we often use the following procedures to make smile improvements for our patients: 
- Philips Zoom!® teeth whitening
- Porcelain and composite dental veneers
- Dental implants, including mini-implants
- Dentures
- Dental crowns and bridges
- Invisalign® and ClearCorrect® clear aligners
- Traditional metal and ceramic braces
- Tooth-coloured fillings
If you have questions about our cosmetic dental services, we welcome your call to our dental clinic in Mona Vale. We’re always happy to discuss your dental needs, and we would enjoy finding out how we can assist you.
Cosmetic Dentistry in Mona Vale and Northern Beaches
With cosmetic dentistry, we can customise cosmetic treatment plans to patients’ specific situations, helping them find treatments that are right for them.
*Outcomes, healing times and fees vary depending on individual circumstances and treatment type.
If you’re interested in cosmetic dentistry, we invite you to call us to book a consultation with Dr Moharrami. We offer updated dental care using advanced technology and techniques, and we offer various methods of payment, including a payment plan and specials.