
Crowns & Bridges in Mona Vale, NSW
Whether you have teeth missing or a damaged or decayed tooth, our knowledgeable team at BMB Dental Clinic can help. We restore broken teeth and replace missing teeth for patients all the time, creating better oral health and more aesthetically pleasing smiles.
What Is a Dental Crown?
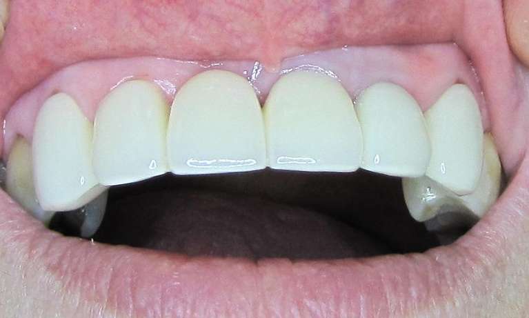
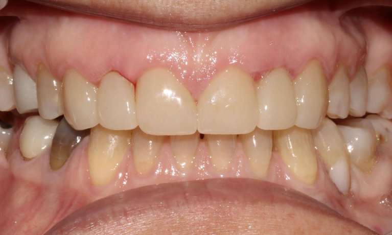
A dental crown, also known as a dental cap, can either cover your entire natural tooth to protect and strengthen it or attach to a dental implant to replace a missing tooth.
A dental crown is often an ideal treatment for patients who have severe tooth decay that has weakened a tooth’s structure or a tooth that’s broken or fractured for any reason, including trauma. We also use crowns to strengthen teeth after root canal treatments since a root canal procedure weakens the structure. The crown encapsulates the tooth, protecting it from further damage.
In the past, dentists mainly used metal dental crowns and crowns made using a combination of metal and porcelain to protect damaged teeth. However, thanks to modern technology, we now have more options and can more easily make crowns, including full porcelain crowns.
Formerly, technicians had to lay down porcelain by hand over a crown core to create a completed crown. Now, we have machines that grind down the crown from a whole block of porcelain. Once the device achieves the correct shape, the porcelain crown is heated up to a temperature that hardens the crown, creating a strong and durable tooth restoration.
The crown materials we may use to create a crown include:
- Full metal (precious and non-precious)
- Full porcelain
- Full zirconia
- Porcelain-fused-to-metal
- Porcelain-fused-to-zirconia
Dentists often recommend metal-free crowns, like full porcelain and full zirconia crowns, due to their natural-looking appearance, which blends right in with the patient’s other teeth to create a seamless appearance. However, the type of crown we recommend will depend on the patient’s individual needs.
At BMB Dental Clinic, we customise all your treatments to ensure you get the best results.
How Much Does a Dental Crown Cost in Mona Vale?
Dental crown costs may vary depending on the crown material and any required pretreatments. However, the average price ranges from $1,750 to $2,200. Your dentist can give you a more accurate breakdown after assessing your tooth.
* Remember, all patients and treatments are unique, so your final price may deviate from the average costs.
Caring for a Dental Crown
Maintaining good oral hygiene is vital after the placement of your dental crown. While the crown itself is unlikely to suffer damage due to poor hygiene, the tooth beneath the crown can still decay, and in that case, we would need to replace the crown.
What Is a Bridge?
We can replace a missing tooth or missing teeth with a dental bridge. In its simplest form, a dental bridge consists of two dental crowns, which hold the bridge in place, known as abutments. Between the abutments, there is a third dental crown, called a pontic, which is basically a suspended artificial tooth.
We have limits on the number of teeth we can replace with a bridge because the abutments can only support so many artificial teeth under chewing pressure. Since a bridge requires abutments, there are limitations there as well. If a patient doesn’t have two healthy teeth on either side of the gap to support the bridge, we may replace the missing tooth or teeth with dental implants or dentures.
We can make bridges with a variety of materials, and just like with dental crowns, modern advances in technology have improved the options available. Possible bridge materials include:
- Full metal
- Full zirconia
- Full porcelain
- Porcelain fused to metal
- Porcelain fused to zirconia
Each material has its own unique advantages, but patients often prefer the most natural-looking materials: full porcelain, full zirconia, and porcelain fused to zirconia. These materials create the most aesthetically pleasing look.
Dental Crown Cost in Mona Vale
When considering dental crowns, cost can be an important factor. At BMB Dental Clinic in Mona Vale, we strive to make high-quality dental restorations accessible to our patients. The cost of dental crowns at our clinic ranges from $1600 to $2000 per tooth, depending on the type of material used and the specific requirements of each patient.
Our pricing reflects the expertise and precision involved in crafting crowns that match the natural aesthetics of your teeth, offering both strength and beauty. Whether you opt for a porcelain, zirconia, or metal-based crown, you can be assured of receiving the best care and quality at competitive rates in the Mona Vale area. Each crown is tailored to suit your smile's needs, helping restore both functionality and appearance.
Crowns and Bridges in Mona Vale
Dr Babak Moharrami and the rest of our dedicated team help patients who need tooth restorations in the Mona Vale area. We invite you to call our clinic to arrange your consultation.
Frequently Asked Questions
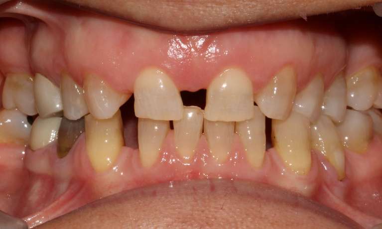
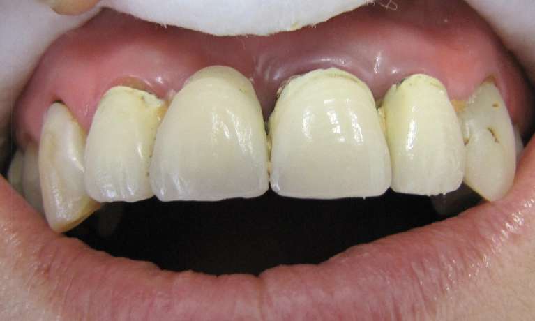
Tooth loss can make it difficult to comfortably and effectively chew food, speak clearly and socialise with others. Also, untreated tooth loss can cause remaining teeth to shift and lead to a misaligned bite, dental damage and oral disease. BMB Dental Clinic is here to help you treat tooth loss and reclaim your oral health.
Dental Bridges ‘Bridge’ the Gap
A dental bridge replaces one or more missing teeth, creating a lifelike appearance and restoring dental function. Bridgework spans the space left behind from tooth loss and usually necessitates three dental crowns.
Two dental crowns fit over healthy teeth on both sides of the empty space. These healthy crowned teeth are called abutment teeth and support the third crown that sits between them.
The dentist will create a bridge with more dental crowns to fill the space between the abutments if the patient has more than one missing tooth.
The number of abutment teeth a patient might need can depend on a few different factors:
- The number of missing teeth
- The length and size of the tooth roots
- The abutment teeth’s amount of bone support
- The location of the missing teeth
For instance, if you have one missing tooth, your dentist may recommend two abutment teeth; ultimately, the bridge would include three teeth.
Looking for a Dental Bridge in Mona Vale, NSW?
Dr Barak Moharrami is a skilled bridge dentist in Mona Vale who can help you restore your oral health and comfort. Our dental practice uses modern technology and partners with a local laboratory to engineer, design and place customised dental bridges and crowns.
If you have a missing tooth, we invite you to book a consultation with Dr Moharrami to learn more about dental bridges and your treatment options.
A dental crown is a tooth-shaped covering that fits over a natural tooth. Your dentist may recommend a dental crown if you have a decayed, damaged, or misshapen tooth. If you are unhappy with your smile or need repairs, our Mona Vale dentist customises dental crowns to enhance your smile’s natural function and appearance.
Types of Dental Crowns We Offer
Dentists often recommend non-metal crowns because they look like natural teeth and seamlessly blend in with your surrounding teeth. However, the crown you receive depends on your needs, aesthetic preferences and budget. Dr Babak Moharrami offers the following types of crowns:
- Full metal (precious and non-precious)
- Full porcelain
- Full zirconia
- Porcelain-fused-to-metal
- Porcelain-fused-to-zirconia
How Can a Dental Crown Improve My Smile?
A dental crown covers and stabilises a tooth, restoring its shape and strength. These versatile restorations can improve one’s oral health and aesthetics in many ways, such as:
- Treat severe or extensive tooth decay
- Repair a broken, chipped, or fractured tooth
- Protect a weak, vulnerable or brittle tooth
- Cover a misshapen or discoloured tooth
- Stabilise and strengthen your bite
- Cap anchor teeth for a dental bridge
- Attach to a dental implant
- Shield a tooth that’s received root canal therapy
Dental Crowns in Mona Vale, NSW
If you have a weak, damaged, or unattractive tooth, BMB Dental Clinic is here to assist you. Arrange a consultation at our Mona Vale dental practice, where our skilled dentists are committed to helping you achieve the healthy, beautiful smile you desire.
Generally, nothing happens to the dental crown. Of course, they can break or chip but majority of the time, what causes the failure is the tooth under the crown. As most teeth with crowns are badly damaged before placing the crown, this can shorten the life of the tooth even with crown on top. Overall, the healthier the tooth when crown is placed, the longer it will last. Teeth beneath a crown can still decay in areas not covered by the crown or may crack over time, especially if they’ve been root canal treated and are subject to heavy biting forces. On average, crowns are expected to last around 10 years or longer.
Crowns can be made from a variety of materials, which can affect the price. On average, they cost around $1800 at the time of writing this Q&A (2025).
No, getting a dental crown doesn't hurt. If the tooth is root canal treated then there is no nerve in the tooth, so you won't even an injection for the crown procedure. If tooth is still alive, your tooth will be numbed with a dental injection so that you won't feel any pain.
Our Team
-
Dr Babak Moharrami
Dr Babak Moharrami graduated from Qazvin University in Iran in 2000 and treated patients in his native Tehran for seven years before moving to Australia. He passed the Australian Dental ...
Read More